
BDS MFDS RCS (Eng) MCGDent MSc Cons Dent FHEA MBALM
Visiting Lecturer in Restorative Dental Practice (UCL), Kings College London, Brighton and Sussex Medical School.
Author of the best-selling books ‘Full Mouth Reconstruction for GDPs' & ‘Restoring Dental Implants for GDPs.'
Dr Patel graduated in 2004 and has been working as a general dental practitioner since he graduated. During his professional career, Devang has developed a great interest in aesthetic and restorative dentistry, including implant dentistry. He has worked towards achieving the highest standards of dentistry by undertaking different postgraduate courses, including a one-year full-time MSc course at Eastman Dental Institute, for which he was awarded distinction and a postgraduate prize for excellence in clinical and academic achievement.
He keeps up-to-date by reading the latest research papers and attending various national and international seminars and courses. He has a special interest in patients with severe tooth surface loss, complex fixed prosthodontics using implants which may need autogenous bone-grafting and sinus lift procedure, full mouth rehabilitation and temporomandibular joint dysfunction. He is very focused, professional and committed to achieving good rapport with his patients through good communication skills and providing excellent quality of care. He strongly believes in patient-led treatment planning, which is supported by clinicians to suit the patient’s personal needs. His caring and polite nature helps him treat nervous patients and provide them with the necessary care.
In addition to private practice, Dr Patel teaches postgraduate dentists at University College London, Eastman Dental Institute, and many other institutes. He trains dentists who want to further their careers in restorative dentistry and mentors dentists for complex rehabilitation cases. His main teaching interests are occlusion and its use in full-mouth reconstructions, including implant-supported restorations.
Here are some of the cases and treatment modalities that may benefit patients. All the restorations were screw-retained, as Dr. Devang Patel prefers this method due to its multiple benefits over cement-retained restorations.
There is no simple implant; however, implant placement is very straightforward when sufficient bone is available and a single tooth is replaced. It can take as little as 15 minutes from the incision to place an implant and close the flap. Generally, patients do not feel much pain or discomfort postoperatively. Financially, our prices are comparable to privately done 3-unit bridges; hence, it’s a no-brainer for the patients to get a single implant and a fixed bridge.These patients below presented with missing single teeth and were conscious of the gap. A single Straumann implant was placed, followed by a screw-retained crown with a custom abutment for a good emergence profile.












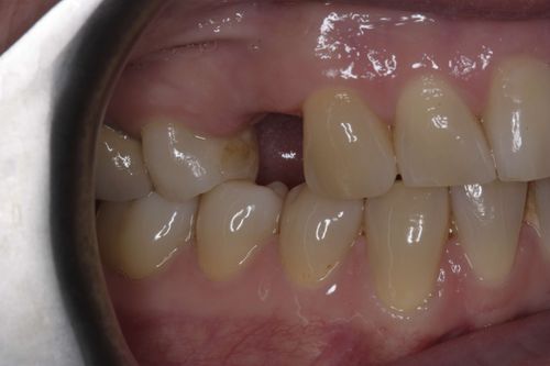
Sometimes, patients may have lost more than one tooth. Generally, a small three-unit bridge supported by two implants is ideal if three teeth have been lost, like in the case below. This patient had missing upper right canine, first, and second premolars, replaced using a two-implant-supported three-unit bridge.


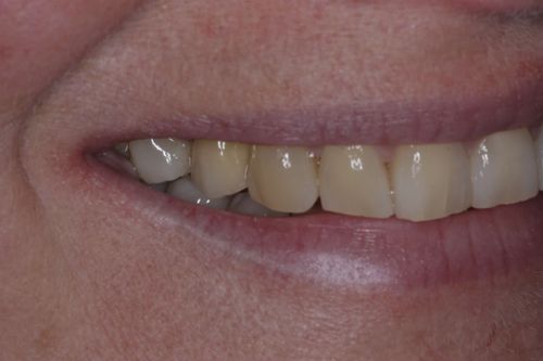
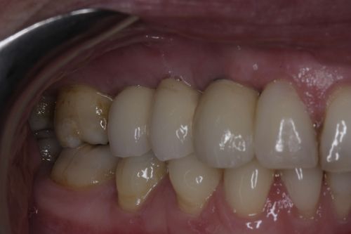
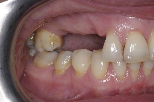
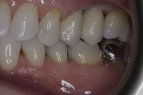
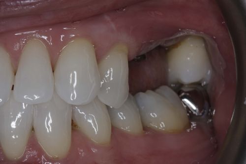
However, if only two teeth are missing, they can be replaced using a single implant and a cantilever bridge or two separate implants and single crowns. Ideally, it is preferable to replace two adjacent missing teeth with two implants; however, if there is not enough space available to place two implants, then it's best to place a single implant and create a cantilever bridge.Here is an example of replacing two missing teeth using two implants and screw-retained crowns.


This is the solution for patients who have lost all their teeth in one or both arches or are about to lose them. This modality of treatment has been known to improve quality of life immensely. It is fixed and can look very natural. Here are some examples of FP3 type of full-arch fixed bridges, also called fixed dentures, as they contain a metal bar and an acrylic wraparound.

















Of course, other options are available, such as a bar-supported denture which is exactly like a denture but fully supported by a metal bar fixed into the implant. This means bar-supported dentures have much more stability than any other type. For the lower jaw, two implant-retained dentures can be a minimal way to give the patient appropriate retention in the denture for function. We must let the patient know that this denture will have some movement in them as they are only supported by two implants, and the main goal is to give the patient some comfort while using them, and to avoid the denture dropping out of the mouth due to lack of retention. This method is very cost-effective and can offer amazing value for money for patients.






Preventing tooth wear is the best way to make sure no extensive treatment is needed in the future. However, for some it's too late.
Tooth wear can be treated using advanced bonding techniques using composite resin material, which is relatively less invasive and almost 1/3rd the cost of the treatment involving porcelain veneers and crowns.






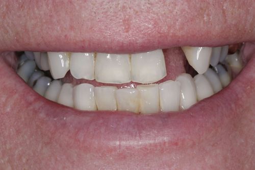
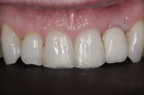
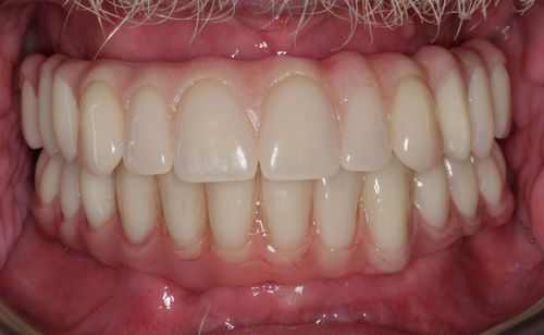
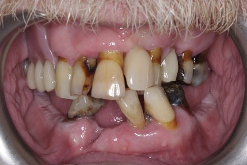
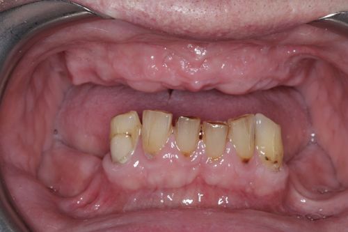
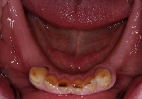
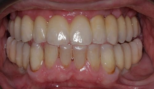
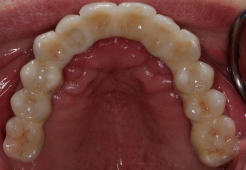
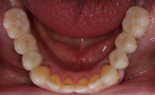
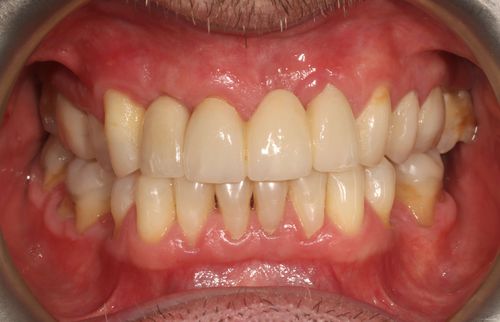
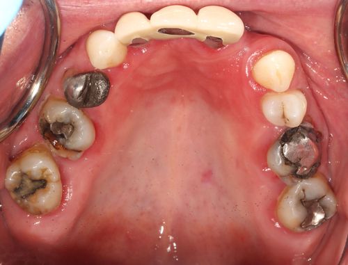
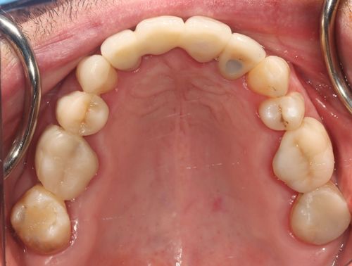
However, if it is not always possible to restore teeth using composite resin and porcelain crowns and veneers is necessary due to severe loss of tooth tissue or due to aesthetic demands from patients. This gentleman was referred to me as he had pain with carious roots and sensitivity with upper front teeth and wanted to improve his looks. I placed 6 implants and carried out full mouth reconstruction in CR with increased OVD using indirect restorations (crowns/onlays).







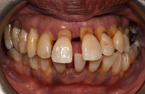
Another patient wasn’t happy with the appearance and had lost a few teeth. Direct build-up was done using composite for lower anterior teeth, and posterior teeth were built up using onlays. UR2 was replaced using a single implant-supported screw-retained crown.UL2 was replaced using conventional fixed-fixed bridge as a short-term replacement.








Our practice is conveniently situated on High Rd, directly across from the well-known dining establishment, 'Bombay Central.'
We understand that accessible parking is essential for our patients' convenience, and we're pleased to inform you that ample parking spaces are readily available on adjacent side roads.
Furthermore, it's noteworthy that there are no parking restrictions in place, allowing you the freedom to visit your favourite dental clinic in Harrow Weald without any concerns about parking regulations.
Our dental practice in Harrow Weald is located on the ground floor, offering easy accessibility for individuals who use wheelchairs.
We have thoughtfully designed our facilities to ensure a welcoming and barrier-free environment for all, prioritising inclusivity and ensuring that everyone can access our services without any hindrance or inconvenience.
Our team of dentists in Harrow is proud to provide our patients with the convenience of immediate emergency appointments on the very same day they are needed. This ensures that urgent dental concerns are promptly addressed, offering our patients timely relief and expert care.
Please call the practice on +44 20 8159 8005 or book an emergency appointment online.
At our dental clinic, we understand that managing the cost of dental care is important to our patients.
To provide financial flexibility, we offer several convenient options including Flexible Financing as well as Practice Membership Plans that are specifically designed to simplify keeping up with your oral health.
We are the answer to all your 'Dentist Near Me in Harrow' queries.
At Harrow Weald Dental Practice, we extend a warm welcome to new patients, valuing your oral health and well-being.
Our comprehensive new patient examinations are priced at £55.00, and they encompass a thorough assessment designed to provide you with a comprehensive overview of your dental health.
At our dental clinic in Harrow, we take pride in offering a comprehensive range of specialised dental treatments to address complex procedures with the utmost precision and expertise.
If you are considering referring a patient to us for a specific treatment, please rest assured that our patient-centric approach is designed to prioritise their well-being.
Please note we are closed for lunch between 1:00 pm - 2:00 pm Monday-Friday.